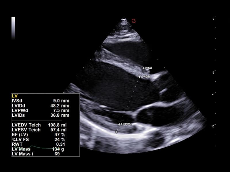
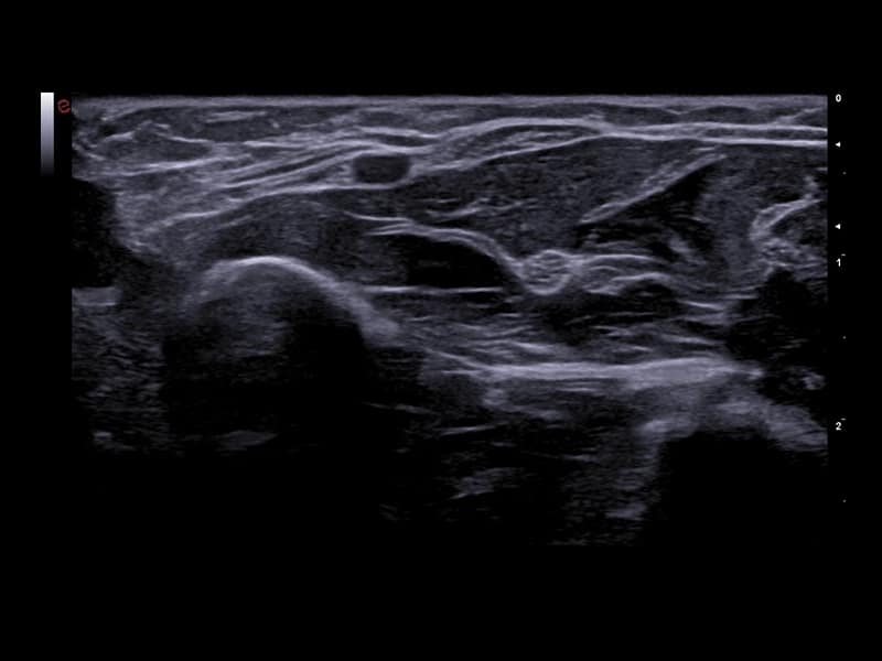
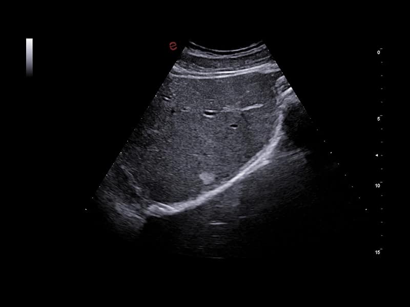
Klinische Bilder
Produkt-Highlights:
-
24-ZOLL-OPTILIGHT-BARCO-MONITOR*

Neueste LCD- Monitortechnologie für überragende Detailschärfe, integrierte augenschonende Hintergrundbeleuchtung.
- ULTRABREITER 13,3–ZOLL-TOUCHSCREEN

Ergonomische Steuerung mit neigbarem 13,3-Zoll-Touchscreen.
- EINZIGARTIGE TOUCH-BEDIENOBERFLÄCHE*


Innovatives berührungsempfindliches Bedienpanel für hohen Arbeitskomfort und leichte Reinigung.

- 5+1 SONDENANSCHLÜSSE
5+1 Sondenanschlüsse für den schnellen Schallkopfwechsel.
- Gelwärmer und frei positionierbare Sondenhalter

- AKKU-UNTERSTÜTZUNG*
Schneller Start und über eine Stunde Scannen mit voller Leistung bei Akkubetrieb des Systems.

- 3 JAHRE GARANTIE
Unentbehrlicher Schutz, damit Ihre Investition sicher funktioniert.
*Optional
Reibungsloser Workflow
- SCHNELLER START

Starten Sie die Untersuchung mit den optimalen Voreinstellungen für jeden Schallkopf, jede Tierart und klinische Anwendung mit nur einem Klick.
- ANPASSBARE BENUTZEROBERFLÄCHE

Modulare und anpassbare Anmerkungen, Messungen und Verknüpfungen, tragen dazu bei, die Untersuchungszeit zu verkürzen und die Produktivität zu steigern.
- AUTOMATISCHE OPTIMIERUNG

Der adaptive B-Modus- und Farbtools wie eScan, AutoAdjust und eDoppler liefern klarere Bilder unter allen Bedingungen, insbesondere bei anspruchsvollen Untersuchungen.
- SCHNELLE PRESET-OPTIMIERUNG

easyMode und easyColor unterstützen eine schnelle Preset-Optimierung in nur wenigen Sekunden.
- EINFACHE BERICHTERSTELLUNG UND NACHVERFOLGUNG

Integrierte Berichtsfunktionen unterstützen den schnel len Vergleich mehrerer Untersuchungen – sogar mit unterschiedlichen Modalitäten.
- MY LIBRARY

Integrierte Bibliotheken bieten direkten Zugriff auf Bildgebungsanleitungen, kombinier t mit Live-Vorschau und anatomischen Referenzen.
Schallköpfe
mC 3-11, LX 3-15, L 3-11, E 3-12, SB2C41, P 2-9, TE 3-8, 5CWL, 2CWL, L 8-24, C 1-8A, P 1-5A

