Back

Klinische Bilder

Die technologische Basis: C-Field+™ Architektur

Beide Modelle der SonoScape S70 Reihe basieren auf der bahnbrechenden C-Field+™ Architektur.
Diese Architektur definiert Innovation neu, indem sie zwei entscheidende Säulen der Sonografie perfektioniert:
  1. Präzision: Durch ein optimiertes Signal-Rausch-Verhältnis sowie eine gesteigerte räumliche und Kontrastauflösung liefert das System selbst bei hohen Bildraten eine außergewöhnliche Detailtiefe.
  2. Intelligenz: Dank beschleunigtem Computing und einer gesteigerten Datenverarbeitung ermöglicht das sonoscape S70 eine deutlich verbesserte klinische Effizienz, die den Arbeitsalltag in Klinik und Praxis revolutioniert.

Modellvariante SonoScape S70 i Fenix: Spezialist für die Frauengesundheit

Das S70i Fenix wurde gezielt entwickelt, um die Effizienz in der Geburtshilfe und Gynäkologie zu maximieren. Es bietet intelligente Lösungen, die Klinikern helfen, Anomalien früher zu identifizieren:
  • S-Fetus: Eine One-Stop-Lösung, die mit nur einem Klick 29 Standardebenen des Fötus identifiziert und 13 biometrische Messungen automatisch durchführt.
  • S-Live Studio: Erzeugt eine brillante, realistische Hautvisualisierung in Echtzeit durch Simulation der Lichtausbreitung.
  • AVC Follicle: Automatisiert die Follikelanalyse, sortiert diese nach Größe und markiert sie farblich für eine intuitive Visualisierung.
  • Spezialisierte Diagnostik: Mit Tools wie HyCoSy zur Prüfung der Eileiterdurchgängigkeit, S-ERA zur Volumenquantifizierung des Endometriums und S-PF zur Beurteilung des Beckenbodens bietet das Fenix-Modell ein lückenloses Paket für die Gynäkologie.

Modellvariante SonoScape S70 i Marvo: Die vielseitige Multimodalitäts-Lösung

Wo das Fenix den Fokus auf die Frauenheilkunde legt, glänzt das sonoscape S70 i Marvo durch seine Vielseitigkeit und Präzision über verschiedene Fachabteilungen hinweg. Es nutzt multimodale Technologien für sicherere Beurteilungen:
  • S-SWE (Shear Wave Elastography): Ermöglicht die quantitative Beurteilung der Leberfibrose inklusive einer Qualitätskarte zur Stärkung des Diagnosevertrauens.
  • CEUS HFR: Kontrastmittelverstärkter Ultraschall mit hoher Bildrate zur detaillierten Darstellung von Läsionsperfusionen.
  • SonoFusion: Eine wegweisende Technologie, die Ultraschalldaten direkt mit CT- oder MRT-Daten fusioniert, ohne dass externe Sensoren benötigt werden.
  • S-Thyroid & T-MSK: Automatisierte Erkennung und Klassifizierung von Schilddrüsenläsionen nach ACR-TI-RADS sowie die Identifikation standardisierter Gelenkebenen im Bewegungsapparat.
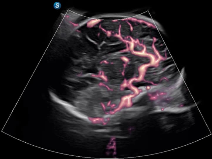
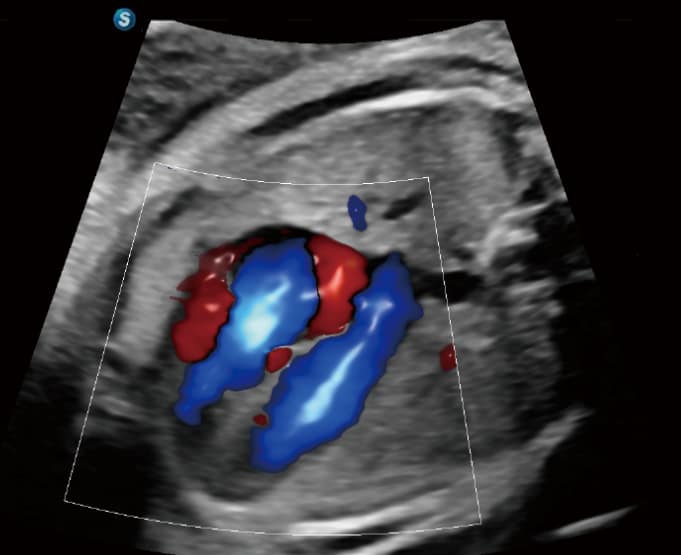
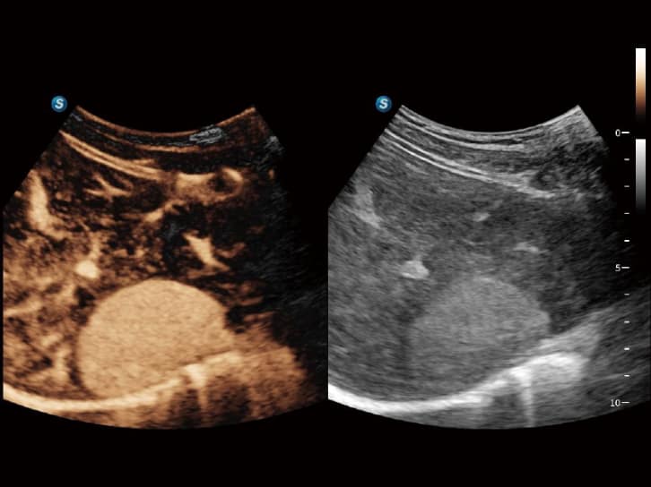
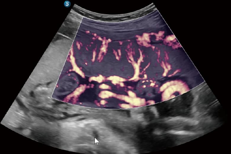
  • Exquisite Bildklarheit und Hämodynamik
  • Unabhängig vom Modell bietet das sonoscape S70 fortschrittliche Techniken zur Darstellung des Blutflusses:
  • Bright Flow: Erzeugt eine 3D-ähnliche Darstellung des Farbdopplers ohne Volumenwandler, was die Abgrenzung von Gefäßwänden verbessert.
  • Micro F: Trennt subtile Blutflusssignale effizient von Gewebebewegungen, um die Mikrozirkulation präzise darzustellen.
  • FHR: Erhöht die Empfindlichkeit bei der Beobachtung mikrovaskulärer Strukturen in Organen.
  • Intelligenter Workflow für maximale Produktivität
  • Die SonoScape S70 Serie ist darauf ausgelegt, Tastenanschläge und Prüfungszeit um bis zu 50 % zu reduzieren. Der SonoAssistant standardisiert Prüfungsabläufe, während das Sondenaufwachen durch Bewegungssensoren die Schallköpfe automatisch aktiviert.
  • Konnektivitätslösungen wie SonoSynch für Fernberatungen, SonoDrop für den drahtlosen Datentransfer an Patienten und SonoTransfer zur PC-Anbindung machen das sonoscape S70 zu einem vollvernetzten Partner in der modernen Gesundheitsversorgung.

Mit seiner Kombination aus ergonomischem Design, Premium-Schallköpfen (Konvex, Linear, Phased-Array, Volumen) und zukunftsweisender KI-Unterstützung ist das Sonoscape S70 die ideale Wahl für Mediziner, die keine Kompromisse bei der Bildqualität eingehen wollen.

Anfrage (Konfigurator):






    Benötigte Sonden

    Benötigte Lizenzen v

    Accessories

    Serivce und Schulung

    © 2026 - ROWAMED Medizintechnik GmbH