Klinische Bilder

Integrierte Anwendungen des Sonoscape P12 Elite

Das SonoScape P12 Elite wurde für eine optimierte Versorgung und maximale Effizienz entwickelt. Mit der neuesten μ-Scan+ -Technologie und SR Flow bietet es exzellente Bildschärfe und präzise Flussdarstellung. Dank Elasto Imaging können elastische Eigenschaften von Gewebe quantitativ analysiert werden. Die Funktionen Contrast-Enhanced Ultrasound (CEUS) und Tissue Doppler Imaging (TDI) liefern detaillierte hämodynamische Informationen und unterstützen eine präzise Beurteilung von Perfusionsdynamik und Herzfunktion. Vis-Needle verbessert die Nadelvisualisierung bei Interventionen, während S-Fetus und S-Live eine automatisierte und intuitive Beurteilung in der Geburtshilfe ermöglichen. Das ergonomische Design mit kippbarem 13,3-Zoll-Touchscreen, 21,5-Zoll-LED-Monitor auf einem 3-D Arm, die Höhenverstellung und ausziehbare Tastatur sorgt für höchsten Bedienkomfort.

Optimierte Bildgebungstechnologie

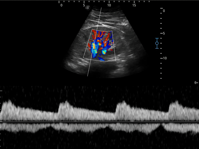
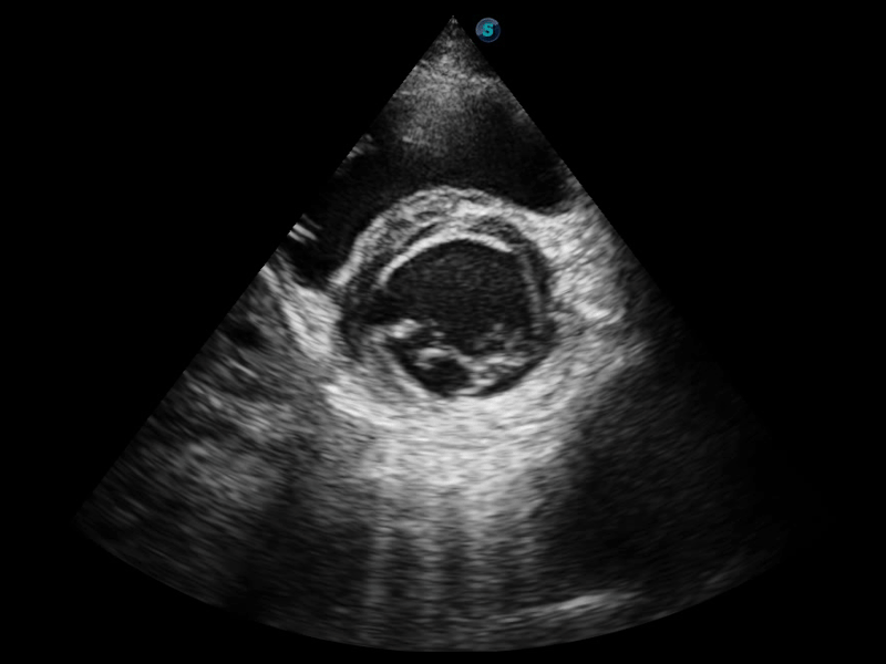
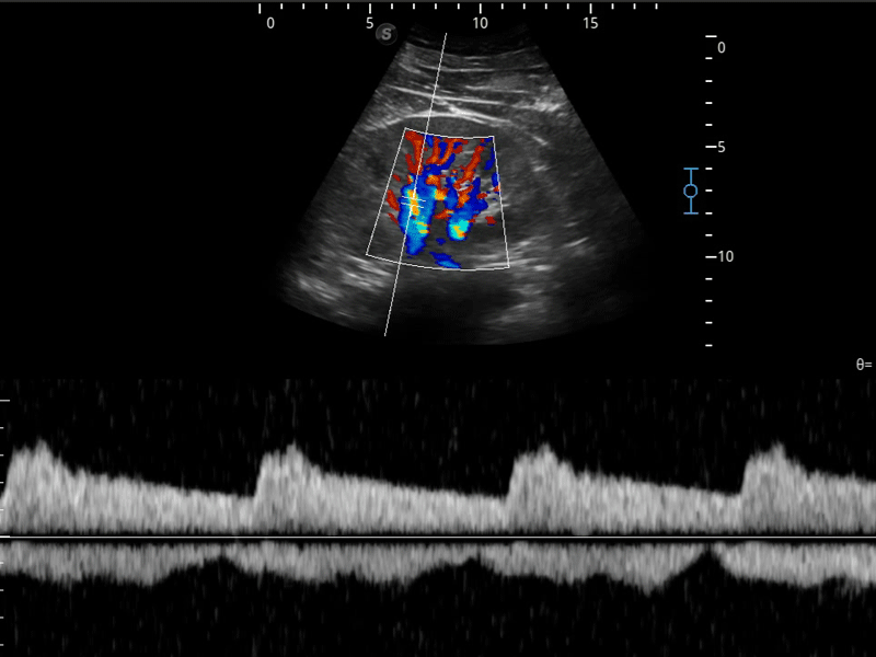
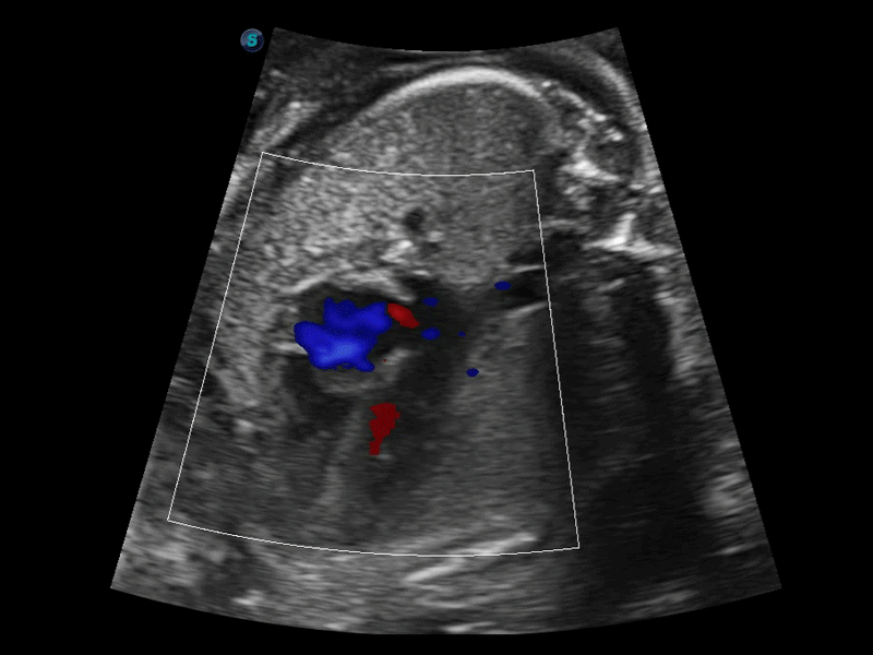
Die μ-Scan+-Bildgebungstechnologie der neuesten Generation sorgt für exzellente Kontraste und feine Strukturdarstellung. Sie unterdrückt Speckle-Artefakte und erhält gleichzeitig die reale Gewebestruktur. Mit SR Flow werden Flusssignale mit niedriger Geschwindigkeit präzise erkannt und räumlich hochauflösend abgebildet. C-xlasto Imaging ermöglicht eine quantitative Elastizitätsanalyse und gewährleistet reproduzierbare Messergebnisse. Das integrierte TDI Tissue Doppler Imaging liefert zusätzliche Informationen über die Myokardbewegung und unterstützt eine detaillierte Beurteilung der Herzfunktion. Mit dem Contrast-Enhanced Ultrasound (CEUS) kann die Perfusionsdynamik in Echtzeit bewertet werden – ideal zur Beurteilung von Organen, Läsionen und Gefäßstrukturen. S-Live und S-Live Silhouette erzeugen lebensechte 3D/4D-Darstellungen, während S-Fetus die automatische Erfassung und Messung von Standardebenen ermöglicht.

Technische Daten (Auszug)

Anzeige: 21,5-Zoll-LED-Monitor und 13,3-Zoll-Touchscreen
Modi: B-Mode, M-Mode, PW/CW-Doppler, Farb-Doppler, 3D/4D, CEUS, TDI
Sondenanschlüsse: 4 Ports
Schnittstellen: LAN, WLAN, USB, HDMI, DICOM
Akkulaufzeit: bis zu 75 Minuten mit Hochleistungsakku

Konvexe Sonde 3C-A (1,0–7,0 MHz / R50 mm) – ideal für Abdomen, Geburtshilfe, Gynäkologie und Urologie.
Lineare Sonde L741 (4,0–16,0 MHz / 46 mm) – für Gefäße, Schilddrüse, Brust, Weichteile und MSK.
Phased Array Sonde 3P-A (1,0–6,0 MHz) – für kardiologische und transkranielle Anwendungen.
Endokavitär Sonde 6V3 (3,0–15,0 MHz / R11 mm) – für gynäkologische und urologische Untersuchungen.
Volumensonde VC6-2 (2,0–6,0 MHz / R60 mm) – für 3D/4D-Scans in der Geburtshilfe und Gynäkologie.

Weitere kompatible Schallköpfe sind verfügbar.

Optionales Anwendendungen und Zubehör des Sonoscape P12 Elite:

Sono-Hilfe

Ein motivierendes Lernprogramm mit Beispielen für die Schallkopfplatzierung, anatomischen Darstellungen und Standard-Ultraschallbildern. Als nützliches Nachschlagewerk, auf das sich weniger erfahrene Kliniker verlassen können, deckt die Sono-Hilfe eine Vielzahl von Anwendungen ab, darunter Leber, Niere, Herz, Mamma, Schilddrüse, Geburtshilfe, Gefäße usw.

 

Anfrage (Konfigurator):






    Benötigte Sonden

    Benötigte Lizenzen v

    Accessories

    Serivce und Schulung

    © 2026 - ROWAMED Medizintechnik GmbH