Klinische Bilder

Integrierte Anwendungen des Sonoscape P25 Elite

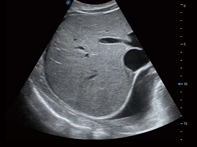
μ-Scan+

Die neue Generation der Bildgebungstechnologie μ-Scan+ bietet durch die Reduzierung des Rauschanteils, Steigerung der Bildqualität und verbesserte Kontinuität der Ränder eine bessere Bildqualität für naturgetreue Details und optimale Darstellung.

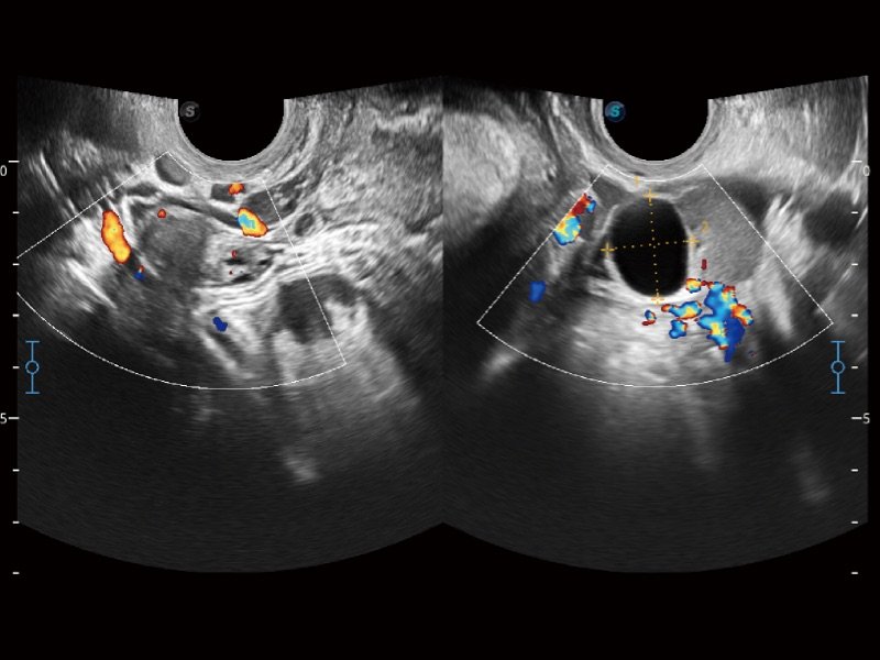
SR-Fluss

Als neue innovative Technologie verbessert SR Flow die Fähigkeit, Signale auch bei langsamer Strömungsgeschwindigkeit zu erkennen. Gleichzeitig wird die räumliche Auflösung verbessert und der Overflow überwunden, um dem Benutzer reale hämodynamische Daten zu liefern.

Optionale Anwendendungen und Zubehör des Sonoscape P25 Elite:

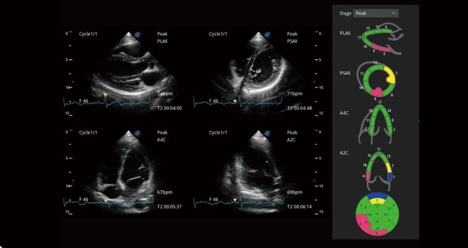
Stress-Echo

Eine unkomplizierte Vorlage für Kliniker, die mehrere dynamische Bilder in Ruhe und nach Belastung aufnehmen und nebeneinander vergleichen können. Für eine weitergehende effektive Abklärung der Vitalität des Herzmuskels werden professionelle Scores und Berichte zur Wandbewegung bereitgestellt.

Quantitative Myokardanalyse (MQA)

MQA bietet eine präzise quantitative Messung der Myokardmechanik anhand einer empfindlichen Echtzeit-Verfolgung der Wandbewegung. Die Funktion erlaubt eine globale und regionale Abklärung einschließlich Dehnung, Dehnungsrate, Auslenkung, Geschwindigkeit usw.

Auto-IMT

Auto IMT ist ein intelligentes Instrument zur Analyse des potenziellen Risikos eines Patienten für Herz-Kreislauf-Erkrankungen. Durch Anklicken einer Schaltfläche können Sie sowohl die Intima-Media-Dicke sowohl der Vorder- als auch Hinterwand der A.carotis communis messen. Dieses einfache Verfahren steigert die Produktivität der Untersuchung und erhöht ihre diagnostische Aussagekraft.

C-xlasto Bildgebung

Die C-xlasto Bildgebung erlaubt eine umfassende quantitative Elastizitätsanalyse, bei der das System schnell das Dehnungsverhältnis berechnet und ungewöhnlich harte oder weiche Veränderungen im Weichteilgewebe anzeigt. Gleichzeitig wird die Funktion durch mehrere Schallköpfe unterstützt, was hochgradig konsistente, quantitative Elastizitätsergebnisse mit guter Reproduzierbarkeit sicherstellt.

Contrast Imaging

Die Kontrastmittel sorgen für eine starke Signalreflexion, so dass schwer einsehbarer Blutfluss besser dargestellt werden kann. Regelt den Schalldruck und bietet eine vielversprechende Bildqualität bei geringerer Wirkstoffdosis.

S-Live Silhouette

Durch den Einsatz einer virtuellen Lichtquelle und des Schattierungseffekts sieht S-Live Silhouette durch die Oberfläche hindurch und bildet die Umrisse von Knochen, Organen, Hohlräumen, Gefäßwänden und anderen inneren Strukturen scharf ab. Diese Funktion eignet sich hervorragend zur Erkennung der normalen Anatomie und zur Diagnose komplexer angeborener Fehlbildungen.

Anfrage (Konfigurator):






    Benötigte Sonden

    Benötigte Lizenzen v

    Accessories

    Serivce und Schulung

    © 2026 - ROWAMED Medizintechnik GmbH